Blog Articles on Orthodontic Treatments
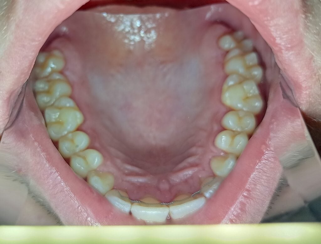
Why Get A Permanent Retainer After Braces?
Discover why getting a permanent retainer after braces helps keep your smile straight for years. Learn about benefits, care tips, common issues, and permanent retainer cost so you can make…
What’s the Best Toothbrush for Braces?
Discover the best toothbrush for braces and the best toothpaste for braces to keep your smile bright and healthy. Learn expert tips for brushing, flossing, and maintaining clean teeth throughout…
Can You Use Mouthwash With Braces?
Wondering can you use mouthwash with braces? Discover the best braces mouthwash options to keep your smile clean, fresh, and cavity-free. Learn what ingredients to look for and how to…
Waterpik for Braces
Discover the benefits of using a Waterpik for braces to keep your teeth and gums clean. Learn how to use Waterpik with braces for easier flossing, healthier gums, and a…
How Long Do Retainers Last? When & How to Replace Your Retainers
Wondering how long do retainers last? From the classic Hawley to the clear essix retainer, explore lifespans, signs for replacement, and expert care tips to make your orthodontic investment last.
How to Ease Braces Pain at Night
Discover how to ease braces pain and sleep comfortably through the night. Learn expert-approved tips to reduce soreness, prevent irritation, and relieve pain from braces with simple at-home remedies and…
What is Tooth Decalcification? 3 Ways to Prevent White Spots On Teeth From Braces
Learn what tooth decalcification is, why it causes white spots on teeth, and how to prevent lasting damage. Get expert prevention tips and treatment options to keep your smile strong…
Do Braces Make Your Teeth Loose?
Do braces make your teeth loose or even risk damage? Discover the truth about wobbly teeth with braces, the role of oral hygiene, and when to seek help. Colorado orthodontists…
Are Braces Considered Cosmetic or Medically Necessary in Colorado?
Wondering are braces considered cosmetic or medically necessary? Learn how orthodontic care supports health, boosts confidence, and how insurance treats it differently from cosmetic dentistry in Colorado. Discover insurance, costs,…







